〜臨床の現場から〜
甲状腺がん

甲状腺がんとは、甲状腺組織中にがん細胞が形成され発生するがんの総称です。
甲状腺は様々なホルモンの生成・分泌、代謝の維持などを行っています。
胃がん

胃がんとは、胃の粘膜に発生するがんの総称です。
胃の粘膜から発生しますが、胃の粘膜から外側へと拡がり、それに伴って転移しやすくなります。
子宮頸がん

子宮頸がんとは、子宮の入口に発生するがんの総称です。
子宮がんのうち8割ほどを子宮頸がんが占めています。
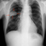
肺がん

肺がんとは、肺から発生したがんの総称です。
特に高齢の男性では、がんのなかでも最も発生頻度が高く、日本では第1位です。
口腔・咽頭がん

口腔がんとは、口腔(口の中)に発生するがんの総称です。
発生する場所により、舌がん(ぜつがん)・歯肉がん(しにくがん)…
大腸がん

大腸がんとは、結腸・直腸に発生するがんの総称です。
大腸は消化吸収された残りのカスを水分を吸収しながら大便にする所で...
子宮体がん

子宮体がんとは、子宮内膜がんとも呼ばれるように、胎児を育てる子宮の内側にある子宮内膜から発生するがんの総称です。
詳しくみる前立腺がん

前立腺がんとは、男性特有の前立腺に発生するがんの総称です。
前立腺肥大症とともに、中高年の男性において注意すべき前立腺の病気のひとつです。
卵巣がん

卵巣がんとは、卵巣に発生するがんの総称です。
卵巣は、女性の生殖器系にある一対の臓器です。骨盤内にあり、子宮の左右に位置しています。
胆管がん

胆管がんとは、肝臓で作られた胆汁を十二指腸へ流す導管である胆管に発生するがんの総称です。
胆管がんには、肝臓の中にある胆管に発生する肝内胆管がん...
胆のうがん

胆のうがんとは、胆のうに発生するがんの総称です。
肝臓で作られた胆汁が流れていく経路を胆道と呼び、胆管と胆のうに大きく分けられます。
膀胱がん

膀胱がんとは、尿を溜める袋である膀胱に発生するがんの総称です。
大きく分けて「移行上皮がん」「扁平上皮がん」「腺がん」の3種類が存在します。
腎臓がん

腎臓がんとは、腎臓に発生するがんの総称です。
全てのがんの中で、比較的稀ながんとされています。腎臓がんは大きく「腎細胞がん」と「腎盂がん」に分けられます。
肝臓がん

肝臓がんとは、肝臓に発生するがんの総称です。
腫瘍の発生の形によって「原発性肝がん」「転移性肝がん」の大きく2つに分けられます。
膵臓がん

膵臓がんとは、膵臓に発生するがんの総称です。
膵臓がんの90%は侵潤性膵管がんで、他には腺房細胞がん、内分泌腫瘍などがあります。
食道がん

胃がんとは、胃の粘膜に発生するがんの総称です。
食道がんとは、食道の組織内に発生するがんの総称です。
乳がん

乳がんとは、乳腺組織に発生するがんの総称です。
乳腺組織の一部の細胞の遺伝子が変異し、がん細胞となって増殖したものです。
皮膚がん

皮膚がんとは、外側の表皮、毛包、汗腺などの皮膚付属器に発生するがんの総称です。
皮膚には多くの組織があるので皮膚がんの種類は多いが、皮膚の病気による変化は...

