肺がんとは

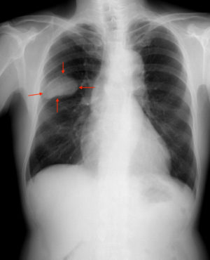
右肺S2-3の小細胞癌。
Author:melvil
Licensing: Creative Commons
Link:https://ja.wikipedia.org/wiki/%E3%83%95%E3%82%A1%E3%82%A4%E3%83%AB:LK-small_cell3683.jpg

肺がんとは、肺から発生したがんの総称です。
特に高齢の男性では、がんのなかでも最も発生頻度が高く、日本では第1位です。肺がんには、顕微鏡でみたがんの組織の特徴から、腺がん、扁平上皮(へんぺいじょうひ)がん、大細胞がん、小細胞がんなどの種類がありますが、臨床的には、その治療方法の違いから、小細胞がん、非小細胞がんと大きく2つに区別しています。今後ますます高齢化社会が進むことによって増加する病気であることは間違いありません。最も重要なことは、他のがんと同じで早期発見、早期治療です。非小細胞がんで、早く見つかり治療をすれば5年生存率は50~70%ですが、肺内のリンパ節に転移した場合、5年生存率は30~50%に下がってしまいます。肺がんは進行が早く、転移もしやすいため、安らかな晩年の生活を大きく阻害する原因になります。特に、ヘビースモーカーの高齢男性には、要注意の病気です。

肺がんの原因

肺がんの原因として、現在のところはっきりしているのは喫煙です。特に小細胞がん、扁平上皮がんは喫煙との因果関係が深く、タバコを吸わない人はほとんど罹らないがんです。タバコを多く吸う人ほど肺がんにかかりやすく、一般に重喫煙者(1日の本数×喫煙年数=喫煙指数が600以上の人)は肺がんの高危険群です。喫煙者の肺がん死亡の危険度は非喫煙者の4~5倍と言われていて、喫煙量が1日20本以上と多いと10倍以上、喫煙開始年齢が早いとさらに増加することが明らかになっています。これ以外に、食事の欧米化、大気汚染なども言われていますが、疫学的にはっきりした証明はないのが実情です。特殊な肺がんとして、アスベストやクロムの曝露による肺がんがありますが、それは特殊な職業に携わった人の罹る肺がんであり、普通の日常生活を送っている人ならあまり心配する必要はありません。

肺がんの症状

なかなか治りにくい咳や胸痛、呼吸時のゼーゼー音(喘鳴:ぜんめい)、息切れ、血痰、声のかれ(嗄声:させい)、顔や首のむくみなどが一般的症状です。扁平上皮がんや小細胞がんに多い肺門型の肺がんは、早期から咳、痰、血痰などの症状が出現しやすいものです。腺がんに多い肺野型の肺がんは、がんが小さいうちは症状が出にくい傾向があり、検診や人間ドック、高血圧などの他の病気で医療機関にかかっている時に見つかることが多くなっています。ときに転移病巣の症状、例えば脳転移による頭痛、骨転移による腰痛などの骨の痛みなどが最初の症状である場合もあります。また、胸痛があらわれることもありますが、これは肺がんが胸壁を侵したり、胸水がたまったりするためです。その他、肩こり、肩痛、背中の上部痛、肩から上腕にかけての痛みもまれにあります。他のがんと同様に肺がんでも、易疲労感、食欲不振、体重減少があらわれることがあります。